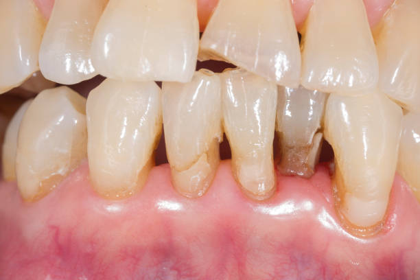
Als Gingivarezession (lateinisch gingiva ‚Zahnfleisch‘) wird der entzündungsfreie Zahnfleischrückgang oder auch Zahnfleischschwund bezeichnet.
Einteilung
Der Grad des Rückganges wird in Bezug auf den Zustand des umliegenden Zahnfleischgewebes nach Miller in vier Klassen eingeteilt.
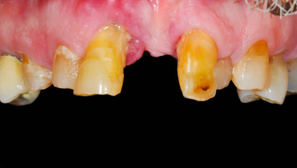
- Klasse I – Rückgang reicht nicht bis zu Mukogingivallinie; kein Gewebe- oder Knochenverlust
- Klasse II – Rückgang reicht bis zur Mukogingivallinie; kein Gewebe- oder Knochenverlust
- Klasse III – Rückgang reicht bis zur Mukogingivallinie; Gewebe- oder Knochenverlust; Zahnfehlstellung
- Klasse IV – Rückgang reicht bis zur Mukogingivallinie; Gewebe- oder Knochenverlust; schwere Zahnfehlstellung
(Mukogingivallinie: Linie an der das Zahnfleisch in die Mundschleimhaut übergeht)
In den beiden ersten Klassen handelt es sich um ein rein ästhetisches Problem. In den Klassen III und IV besteht die Gefahr, dass die freiliegende Zahnwurzel geschädigt wird. Ebenso kann der Knochenverlust voranschreiten, was die Funktion des Zahnes beeinträchtigt und zum Zahnausfall führen kann.
Vorkommen
Mit dem Alter nimmt die Zahl der betroffenen Personen und die Zahl deren betroffener Zähne mit Zahnfleischrückgang zu. Spätestens mit Mitte 30 ist jeder 2. betroffen. Männer sind häufiger betroffen als Frauen. Der Rückgang tritt im Mittel bei zwei von drei betroffenen Zähnen am Unterkiefer auf, er wird am häufigsten bei den unteren Schneidezähnen beobachtet.
Ursachen
Am häufigsten tritt der Zahnfleischrückgang zusammen mit Zahnbelag und bei falscher Zahnputztechnik auf. Mit größerem Abstand folgt Tabakkonsum, Zahnfehlstellungen und fehlende Lippen- oder Backenbändchen.
Ein von Natur aus dünnes Zahnfleisch sowie ein zu nah am Zahn ansetzendes Lippen- oder Wangenbändchen, welches das Zahnfleisch im Laufe der Zeit zurückzieht, begünstigen den Rückgang ebenfalls. Des Weiteren kann ein sehr prominenter Knochen eine Rezession verursachen. Nicht zu vergessen ist die Wirkung des Rauchens. Durch das Nikotin kann es zur Zerstörung der kleinsten Gefäße im Zahnfleisch kommen, welches sich dann auf Grund der Minderversorgung zurückbildet. Eine weitere mögliche Ursache ist wenn im Rahmen von kieferorthopädischen Maßnahmen (z. B. Zahnspangenbehandlungen) der Zahn zu weit nach vestibulär bewegt wird, wodurch es zu einem Abbau der außenseitigen Knochenlamelle kommen kann, so dass die Gingiva keine wirksame Abstützung mehr hat.
Therapie
Wenn eine wahrscheinliche Ursache in fehlerhafter Mundhygiene liegt, sollte diese verbessert werden. So schädigt eine weiche Zahnbürste oder eine elektrische Zahnbürste mit Drucksensor das Weichgewebe weniger. Dabei sollte eine Zahnpasta mit geringer Abrasivität verwendet werden.
Häufig tritt eine Dentin-Hypersensibilität bei den Rezessionsdefekten auf. Es gibt verschiedene Ansätze zur Desensibilisierung, die etwa über eine entsprechende Zahnpasta wirken können. Durch Fluoridauftrag kann sich mit der Zeit zu Sekundär-Dentin bilden, dass möglicherweise zur Okklusion der Dentinkanälchen führt. Bis zu einer Schmerzlinderung vergeht einige Zeit.
Eine ästhetische Therapie kann chirurgisch durch plastische Rezessionsdeckung oder Transplantation oder künstlich durch eine Gingiva-Epithese durchgeführt werden.
Einzelnachweise




